| 

سرگرمی و تفریحی

  • سرگرمی و تفریحی

    چه موقع از کار استعفا بدهیم و زمان استعفا دادن چه موقع است؟

    چه موقع از کار استعفا بدهیم و زمان استعفا دادن چه موقع است؟ اگر به یک شغل علاقه ندارید و از آن لذت نمی برید و باعث آزار شما می شود، ماندن در آن شغل غیر منطقی به نظر می رسد و البته عاقلانه نیست و شاید وقت استعفا دادن شما فرا رسیده است. زمان…

    Read More
  • سرگرمی و تفریحی

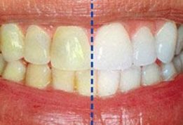
    جرم گیری دندان چند بار می توان در سال انجام شود؟

    جرم گیری دندان چند بار می توان در سال انجام شود؟ جرم رسوبی اغلب زرد رنگ بر روی دندان است که باعث بد بو شدن دهان و همچنین پوسیدگی دندان می شود. جرم دندان را باید مرتب جرم گیری کرد.   دفعات جرم گیری دندان در سال   یکی از اقداماتی که بسیاری افراد در…

    Read More
  • سرگرمی و تفریحی

    طرز تهیه ادویه پلو با مرغ

    طرز تهیه ادویه پلو با مرغ ادویه پلو با مرغ یکی از غذای پر عطر و خوش طعم است که سرشار از ادویه های خوش طعم است. اگر از ادویه زیاد استفاده می کنید این غذا را از دست ندهید.   مواد لازم برای ادویه پلو با مرغ 4 پیمانه برنج 600 گرم  سینه مرغ…

    Read More
  • سرگرمی و تفریحی

    اعمال حرام و ممنوع که شخص جنب نباید انجام دهد

    اعمال حرام و ممنوع که شخص جنب نباید انجام دهد چه شخصی جنب می شود؟ شخصی که مایع منی از وی خارج  یا رابطه جنسی برقرار نموده باشد،جنب است و باید برای پاک شدن غسل جنابت کند وگرنه برای برخی از کارها منع می شود. اعمال حرام و ممنوع برای اشخاص جنب کارهایی که بر جنب حرام…

    Read More
  • سرگرمی و تفریحی

    دمنوش های گیاهی عالی برای مقابله با آلودگی هوا

    دمنوش های گیاهی عالی برای مقابله با آلودگی هوا اگر در شهرهای بزرگ زندگی می کنید هر روز مجبور هستید که هوای آلوده را تنفس کنید که برای سلامتی بسیار مضر است و حتی باعث کوتاه شدن طول عمر افراد می شود. اما قبل از اینکه به دلیل کارتان به دکتر بکشید بهتر از دمنوش…

    Read More
  • سرگرمی و تفریحی

    مشکلات و بیماری های پوستی شایع در بین ایرانیان

    مشکلات و بیماری های پوستی شایع در بین ایرانیان با توجه به شرایط جغرافیایی در هر کشور مشکلات پوستی خاصی نیز امکان شیوع دارد. در این مطلب یکی از متخصصان پوست در مورد مشکلات پوستی رایج بین ایرانیان توضیح می دهد.   شایع ترین مشکلات پوستی مردم ایران   انواع اکنه و لکه های پوستی…

    Read More
  • سرگرمی و تفریحی

    خانم ها با موهای بلوند چگونه آرایش کنند که جذاب تر شوند؟

    خانم ها با موهای بلوند چگونه آرایش کنند که جذاب تر شوند؟ خانم هایی که موهای بلوند دارند باید در آرایش چهره بسیار دقت کنند زیرا امکان دارد به دلیل آرایش اشتباه چهره ای بی روح و سرد و یا چهره ای بسیار تیره داشته باشند که اصلا جذاب نیست.   روش آرایش صورت با…

    Read More
  • سرگرمی و تفریحی

    طرز تهیه فریتاتای انگشتی کدو و هویج

    طرز تهیه فریتاتای انگشتی کدو و هویج فریتاتای انگشتی کدو و هویج غذای گیاهی کاملی است که برای گیاهخواران توصیه می شود. در این مطلب آشپزی تاپ ناز طرز تهیه فریتاتای انگشتی کدو و هویج را به شاما آموزش می دهیم. مواد لازم فریتاتای انگشتی کدو و هویج کدوی سبز رنده شده ½ پیمانه رنده شده…

    Read More
  • سرگرمی و تفریحی

    مشخصات گوشی نوکیا 6 | Nokia 6 تصاویر و قیمت گوشی جید نوکیا

    مشخصات گوشی نوکیا 6 | Nokia 6 تصاویر و قیمت گوشی جید نوکیا پس از چند سال کناره گیری نوکیا از دنیای گوشی های ، این بار شرکت نوکیا با گوشی نوکیا شش Nokia 6 به بازار جهانی برگشت. مشخصات و قیمت گوشی جدید نوکیا Nokia 6 به همراه تصاویر نوکیا سال گذشته اعلام کرد…

    Read More
  • سرگرمی و تفریحی

    مدل طراحی ناخن اکلیلی

    مدل طراحی ناخن اکلیلی عکس های جدیدترین مدل های طراحی ناخن اکلیلی اگر می خواهید که در جشن ها و میهمانی ها ناخن های شما بسیار جلب نظر کند و جذاب باشد می توانید از طراحی اکلیلی ناخن استفاده کنید. در این مطلب نمونه هایی از طراحی ناخن اکلیلی را مشاهده می کنید. عکس های…

    Read More

مدیر :

403 Forbidden

403

Forbidden

Access to this resource on the server is denied!